சேவைகள் & FQAகள்

"தற்காலிக கிரீடம்" என்றால் என்ன? உங்களுக்கு ஏன் ஒன்று தேவை?

நீங்கள் ஒரு பெறுகிறீர்கள் என்றால்பீங்கான் கிரீடம்அல்லது அனைத்து பீங்கான் கிரீடம், இறுதி கிரீடத்தின் தடிமன் இடத்தை உருவாக்க உங்கள் பல் மருத்துவர் முதலில் உங்கள் இயற்கையான பல்லை 360 டிகிரி அரைப்பார். அதாவது, உங்கள் பல் தயாராகி, நிரந்தர கிரீடத்தைப் பெறும் நாளுக்கு இடையில், நீங்கள் ஒரு தற்காலிக கிரீடத்தை அணிய வேண்டும் - மேலும் என்னை நம்புங்கள், இது ஒரு இடம் மட்டும் அல்ல. இது உங்கள் வாயை ஆரோக்கியமாகவும், உங்கள் சிகிச்சையை பாதையில் வைத்திருக்கவும் மூன்று முக்கியமான வேலைகளை செய்கிறது.


1. உங்கள் தயார்படுத்தப்பட்ட பல்லைப் பாதுகாப்பாக வைத்திருத்தல்

உங்கள் பல்லில் இன்னும் நரம்பு இருந்தால் (அதை "முக்கியமான" பல் என்று அழைக்கிறோம்) அல்லது வேர் கால்வாய் ("முக்கியமற்றது") இருந்தால், அந்த தரையில்-கீழான பல்லுக்கு பாதுகாப்பு தேவை - மற்றும் தற்காலிக கிரீடம் நீங்கள் அதை எப்படிப் பெறுவீர்கள்.

• நரம்புகள் கொண்ட பற்களுக்கு: வெளிப்புற பற்சிப்பி மணல் அள்ளப்படும் போது, ​​கீழ் உள்ள மென்மையான டென்டின் வெளிப்படும். ஒரு தற்காலிக கிரீடம் இல்லாமல், சூடான காபியின் ஒவ்வொரு சிப், ஐஸ்கிரீம் அல்லது ஒரு கசப்பான எலுமிச்சை துளியும் கூட நரம்புக்குச் சென்று, உங்கள் பற்களை மிகவும் உணர்திறன் கொண்டதாக மாற்றும். மோசமானது, உங்கள் வாயில் உள்ள பாக்டீரியாக்கள் டென்டினில் உள்ள சிறிய குழாய்கள் வழியாக கூழ் அறைக்குள் ஊடுருவலாம், இது வலிமிகுந்த தொற்றுக்கு வழிவகுக்கும்.

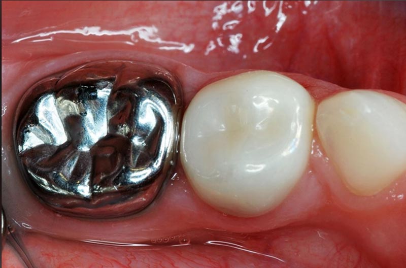
• நரம்புகள் இல்லாத பற்களுக்கு: வேர் கால்வாய்க்குப் பிறகு பல் மிகவும் உடையக்கூடியதாக மாறும். ஒரு தற்காலிக கிரீடம் ஒரு கவசம் போல் செயல்படுகிறது, எனவே நீங்கள் கொட்டைகள் அல்லது சில்லுகள் போன்ற மொறுமொறுப்பான ஒன்றை மெல்லும் போது, ​​நீங்கள் தற்செயலாக சில்லு அல்லது மீதமுள்ள பற்களை உடைக்க மாட்டீர்கள். சீனப் பல் ஆய்வகம் மற்றும் WM பல் ஆய்வகம் ஆகிய இரண்டும் எப்போதும் பல் மருத்துவர்களை நினைவூட்டுகின்றன: இந்தப் படியைத் தவிர்ப்பது, பின்னர் நிரந்தர கிரீடத்தைப் பெறுவதற்கான முழு செயல்முறையையும் அழித்துவிடும்.


2. உங்கள் நிரந்தர கிரீடத்திற்கான "இடத்தை" வைத்திருப்பது

பெரும்பாலான மக்களுக்குத் தெரியாத ஒன்று இங்கே: உங்கள் பற்கள் முற்றிலும் சரி செய்யப்படவில்லை - அவை ஒவ்வொரு நாளும் கொஞ்சம் கொஞ்சமாக மாறுகின்றன. உங்கள் பல் மருத்துவர் ஒரு பல்லை அரைக்கும்போது, ​​அது உங்கள் வாயில் உள்ள இயற்கை சமநிலையை சீர்குலைக்கிறது. தொலைந்த பற்கள் விட்டுச்சென்ற இடத்தில் அருகில் உள்ள பற்கள் எப்படி சாய்கிறதோ, அதுபோல, அதற்கு அடுத்துள்ள அல்லது அதற்கு எதிரே உள்ள பற்கள் புதிதாக உருவாக்கப்பட்ட அந்த இடைவெளியில் மெதுவாக நகரத் தொடங்கும்.

பிரச்சனையா? நிரந்தர கிரீடங்கள் - பீங்கான் அல்லது உலோகம் - மிகத் துல்லியமான அளவீடுகளுடன் தயாரிக்கப்படுகின்றன, பொதுவாக WM பல் ஆய்வகம் அல்லது பிற தொழில்முறை சீன பல் ஆய்வகம். அந்த இடைவெளி கொஞ்சம் கூட சுருங்கினால், நிரந்தர கிரீடம் சரியாகப் பொருந்தாது. இது விளிம்புகளில் மிகவும் இறுக்கமாக உணரலாம் அல்லது நீங்கள் கடித்தால், அது முதலில் அடிக்கும் (நாங்கள் அதை "உயர் கடி" என்று அழைக்கிறோம்).

கிரீடத்தை சரிசெய்வது மிகவும் உதவுகிறது: பீங்கான் மிகவும் மெல்லியதாக அரைக்கவும், அது எளிதில் சிப் செய்யும். ஒரு உலோக கிரீடத்தை அதிகமாக அரைக்கவும், நீங்கள் மெல்லும்போது அது தேய்ந்துவிடும். சில நேரங்களில், பல் மருத்துவர்கள் கிரீடத்தைப் பொருத்துவதற்கு ஆரோக்கியமான எதிரெதிர்ப் பற்களை அரைக்க வேண்டியிருக்கும் - அது ஒரு மோசமான செய்தி, ஏனெனில் இது பாதுகாப்பு பற்சிப்பியை அகற்றி, அந்தப் பல்லையும் உணர்திறன் கொண்டது. ஒரு நல்ல தற்காலிக கிரீடம் அது இருக்க வேண்டிய இடத்தில் இடைவெளியை வைத்திருப்பதன் மூலம் அனைத்தையும் நிறுத்துகிறது.


3. உங்களை "நீங்கள்" போல தோற்றமளித்தல்

உண்மையாக இருக்கட்டும் - நாம் எப்படி இருக்கிறோம் என்பதில் பற்கள் ஒரு பெரிய பகுதியாகும். நீங்கள் ஒரு நாள் (அல்லது ஒரு வாரம்!) பேசாமல், புன்னகைக்காமல், அல்லது மக்கள் முன் சாப்பிடாமல் இருக்க முடியாது, மேலும் தரையில் விழுந்த பல்லை மறைக்க முகமூடியை அணிந்து கொள்ள முடியாது. அது ஒரு பல்லாக இருந்தாலும் அல்லது பலவாக இருந்தாலும், அவற்றை அரைப்பதால் அவை சிறியதாகவும் சீரற்றதாகவும் தோற்றமளிக்கும்-முழுமையாக யாரும் விரும்பாத தோற்றம், குறிப்பாக நீங்கள் ஒரு கிரீடத்தைப் பெறுகிறீர்கள் என்றால், உங்கள் புன்னகை நன்றாக இருக்க வேண்டும்.

நிரந்தர கிரீடத்திற்கான காத்திருப்பு பொதுவாக 1 முதல் 2 வாரங்கள் ஆகும், இது ஒலிப்பதை விட நீண்டது. ஒரு தற்காலிக கிரீடம் உங்கள் இயற்கையான பற்களின் வடிவத்தையும் நிறத்தையும் முடிந்தவரை நெருக்கமாகப் பொருத்துவதன் மூலம் சரிசெய்கிறது, எனவே நீங்கள் சிகிச்சையின் நடுவில் இருப்பதை யாரும் கவனிக்க மாட்டார்கள். சீன பல் ஆய்வகம் மற்றும் WM பல் ஆய்வகம் இரண்டும் இதைப் பெறுகின்றன—அவை நன்றாக வேலை செய்ய தற்காலிக கிரீடங்களை மட்டும் உருவாக்கவில்லை; அவை இயற்கையாகவும் தோற்றமளிக்கின்றன, எனவே உங்கள் இறுதி கிரீடத்திற்காக நீங்கள் காத்திருக்கும்போது நீங்கள் நம்பிக்கையுடன் உணரலாம்.


தொடர்புடைய செய்திகள்
எனக்கு ஒரு செய்தி அனுப்பு
X
உங்களுக்கு சிறந்த உலாவல் அனுபவத்தை வழங்கவும், தள போக்குவரத்தை பகுப்பாய்வு செய்யவும் மற்றும் உள்ளடக்கத்தைத் தனிப்பயனாக்கவும் நாங்கள் குக்கீகளைப் பயன்படுத்துகிறோம். இந்தத் தளத்தைப் பயன்படுத்துவதன் மூலம், எங்கள் குக்கீகளைப் பயன்படுத்துவதை ஒப்புக்கொள்கிறீர்கள். தனியுரிமைக் கொள்கை
நிராகரிக்கவும் ஏற்றுக்கொள்